Mechanisms of injury involves valgus stress and traction force from the pronator-flexor mass complex. During baseball pitching, the ligament may be under stress that is close to the maximum torque that it can take. A repetitive stress to the ligament over a period of time may cause a partial or complete tear of the ligament.
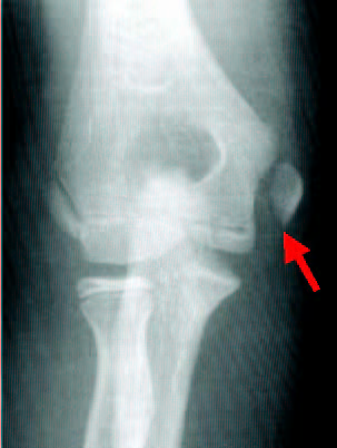
In younger athletes, their growth plates are the weak link and more prone to an injury. Growth plate injuries instead of ligament injury are more common in those athletes. Medial epicondylar avulsion fractures can happen instead of UCL tear. The sublime tubercle, where UCL inserts on ulna, can also avulse. In addition to valgus stress to the medial part of the elbow, the lateral side of the joint is under compressive force. This force can also cause an injury to the lateral side such as OCD (osteochondritis dessecans).
Throwing mechanics plays an important role in reducing such stress to the joint. Certain mechanics are known to put more stress. Thus, it becomes important that overhead athletes are taught the right mechanics at the beginning because it is a lot harder to re-learn the right way after learning faulty motion than to learn the correct mechanics from the beginning.
Treatment of these conditions include cessation of any overhead activities including throwing, physical therapy to strengthen rotator cuff muscles especially posterior cuff and forearm musculature if it is pain-free, ice, NSAID's to reduce inflammation in an acute phase, etc. Then, gradual interval throwing program should be initiated. If conservative treatment fails, surgical treatment will be necessary.
![]() |
| MRI image of torn UCL |
![]() |
| X-ray of medial epicondylar avulsion fracture |


